Вчені вперше склали карту "каналізаційної системи" людського мозку

Глибоко в щілинах людського мозку вчені вперше відобразили динамічні тонкощі базової "водопровідної мережі". Ця "каналізаційна система" у 2012 році була виявлена у мишей.
Науковці припускалися, що у людини теж є така система. Проте лише дані з ретельних досліджень нарешті підтвердили існування глімфатичної системи у людського виду, пише ScienceAlert.
За словами експертів, ця "каналізаційна система" переносить спинномозкову рідину (СМР), яка омиває зовнішню частину мозку, у внутрішню, доставляючи поживні речовини та видаляючи відходи, такі як білки, що утворюють згустки при хворобі Альцгеймера.
З 2012 року кілька перших досліджень показали, що глімфатична система існує в людському мозку. Але оскільки науковці не бачили рідини, що рухається ззовні мозку в простір між нейронами, ця ідея залишалася дуже суперечливою.
"Я сам завжди скептично ставився до цього, і все ще є багато скептиків, які досі в це не вірять. Ось що робить це відкриття таким важливим", – сказав невролог з OHSU Хуан Піантіно.
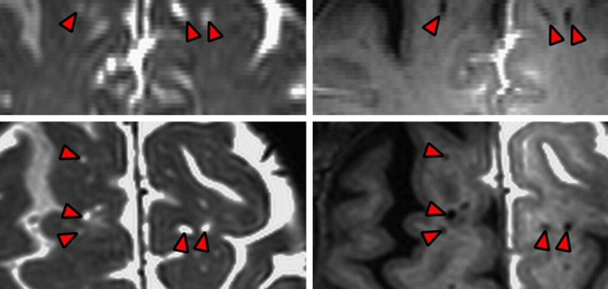
Піантіно та його колеги з OHSU першими зобразили безбарвну рідину, коли вона вливається в тканину мозку живої людини.
Дослідження стало можливим завдяки згоді п’яти дорослих людей, які перенесли операцію на головному мозку і їм потрібно було ввести ліквор для процедури. Тож перед заміною рідини вчені позначили її темним контрастним маркером. Пізніше спеціальний тип магнітно-резонансної томографії відобразив місце, де рідина пішла в мозок учасників дослідження.
Отримані дані свідчать про те, що людський мозок не поглинає спинномозкову рідину безладно, як губка. Натомість рідина проникає глибше в неврологічну тканину та йде слідами кровоносних судин.
Вчені наголошують, що канали спинномозкової рідини не є застійними, заповненими рідиною структурами, а функціональними. Вони сприяють "розповсюдженню СМР у мозку".
Раніше OBOZ.UA писав, що створено перший в історії молекулярний атлас судин мозку.
Тільки перевірена інформація у нас у Telegram-каналі OBOZ.UA та Viber. Не ведіться на фейки!











