Загрожує довічна інвалідність: боєць АТО потребує термінової допомоги

Під час війни на сході України боєць Сергій тяжко травмував руку та ногу. Щоб повернути чоловіка до повноцінного життя, потрібно провести операцію, яка коштує 496 121 грн.
Про це розповіли волонтери "Народного проекту".
Боєць Сергій воював у складі саперно-інженерного полку №703. Під час виконання бойового завдання поблизу с. Кримське на Луганщині разом із побратимом підірвався на розтяжці.
Читайте: Ноги замість візка: лікарі-біотехнологи з України врятували бійця АТО від інвалідності
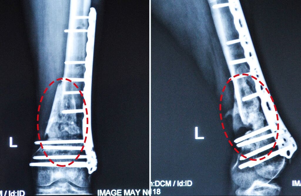
Першу допомогу чоловіку надали у с. Кримське, потім доправили у Харківський військовий шпиталь, де на ногу встановили апарат Ілізарова, а в травні 2015 року у Київському центральному клінічному шпиталі зламану кістку зафіксували пластиною (виконали остеосинтез).
Сергій переніс уже 7 операцій на нозі, але за рік, який минув із часу останнього хірургічного втручання, кістки так і не зрослися. Наразі через порушений кровообіг м’язи ноги зсохлися і вкоротилися, від чого нога та пальці повністю не розгинаються.
Лікарі медичної компанії ilaya планують відновити ногу – спочатку подовжити сухожилля, зростити стегно та виконати артродез гомілково-ступневого суглобу, адже стопа не піднімається через пошкодження нерву. Після цього лікарі планують відновити зап’ястя бійця.
Читайте: Лімфома повернулася: 11-річному сину бійця АТО терміново потрібна допомога
Інформація про травму бійця:
Ліва нога:
– незрощений після металоостеосинтезу надвиростковий перелом лівої стегнової кістки,
– вкорочення кінцівки до 4 см,
– посттравматичне пошкодження малогомілкового нерву,
– ішемічна контрактура лівої стопи з молоткоподібними пальцями.
Ліва рука:
– незрощення перелому 4 п’ясної кістки.
Необхідне лікування:
реконструктивно-відновлювальне лікування стегна з застосуванням біотехнологій, що допоможе повернути нозі повноцінні функції.
Після відновлення ноги буде розроблено схему лікування травми зап’ястя та збір коштів на таке лікування.
Деталізація витрат на діагностику та лікування:
1. Обстеження протягом лікування (терапія, ортопедія, біострахування) – 18 240 грн
2. Забір фрагменту малогомілкової кістки та червоного кісткового мозку (зі знижкою 40%) – 18 060 грн
3. Ендотеліальні клітини, 40 млн. клітин (зі знижкою 50%) – 32 000 грн
4. Періостальні клітини, 40 млн (зі знижкою 50%) – 32 000 грн
5. МСК з кісткового мозку, 120 млн (зі знижкою 50%) – 78 500 грн
6. Виготовлення носіїв для клітин (зі знижкою 40%) – 46 384 грн
7. Анестезія (зі знижкою 15%) – 5 746 грн
8. Реконструктивно-відновлювальне лікування в стаціонарі (зі знижкою 40%) – 265 191,2 грн.
Загалом вартість лікування зі знижкою медичного центру 42% становить 496 121 грн.
Допомогти бійцю можна за цими резвізитами:
ПриватБанк для переказу у гривнях
Миколаївський обласний благодійний фонд "РЕГІОНАЛЬНИЙ ФОНД БЛАГОЧЕСТЯ"
ПАО КБ ПриватБанк
ОКПО: 36143302
МФО: 326610
Рахунок: 26004053210825
Призначення платежу: Благодійний внесок. Біотех-реабілітація поранених
SWIFT-переказ у USD
Beneficiary: Mykolayiv Regional Charitable Foundation "Regional Foundation Blagochestya"
IBANcode: UA803266100000026009053209659
Account: 26009053209659
Beneficiary address: UA 54000, Mykolaiv, Buznyka str. 5, 118
Beneficiary bank: Privatbank
50, Naberezhna Peremogy Street, Dnipropetrovsk, 49094, Ukraine
Swift code: PBANUA2X
Intermediary bank: JP Morgan Chase Bank,New York ,USA
Swift code: CHASUS33
Correspondent account: 001-1-000080
Description: Charitable donation for "Bioengineering rehabilitation for wounded"project
or
Intermediary bank: The Bank of New York Mellon, New York, USA
Swift code: IRVT US 3N
Correspondent account: 890-0085-754
Description: Charitable donation for "Bioengineering rehabilitation for wounded"project
SWIFT-переказ у EUR
Beneficiary: Mykolayiv Regional Charitable Foundation "Regional Foundation Blagochestya"
IBANcode: UA413266100000026009053206287
Account: 26009053206287
Beneficiary address: UA 54000, Mykolaiv, Buznyka str. 5, 118
Beneficiary bank: Privatbank
50, Naberezhna Peremogy Street, Dnipropetrovsk, 49094, Ukraine
Swift code: PBANUA2X
Intermediary bank: Commerzbank AG ,Frankfurt am Main, Germany
Swift code: COBADEFF
Correspondent account: 400886700401
Description: Charitable donation for "Bioengineering rehabilitation for wounded"project










